<<前の記事へ| 次の記事へ>>
2011年06月25日 子どもの脳、タミフル早く吸収 サルで実験 理研など

子どもの脳は大人と比べて、インフルエンザ治療薬タミフル24 件など2種類の薬を取り込みやすいことを、理化学研究所分子イメージング科学研究センター(神戸市中央区)と東京大のグループがサルの実験で突き止めた。高所から飛び降りるといった異常行動との関連が疑われるタミフルは現在、10代患者への使用は原則中止されているが、今回の実験で、子どもの脳の防御機能が不十分で、薬の副作用が起きる可能性が高いことが裏付けられた。
研究成果は米核医学誌電子版に掲載された。
脳には異物から脳そのものを守る「関門」の役割があり、異物を排除し、栄養などは血液から取り込む。これまでラット(比較的大型のネズミ)では子どもの脳は大人と比べて、この働きが弱いとされてきたが、詳細は未解明だった。
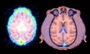
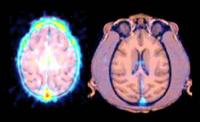
同センターの高島忠之研究員や尾上浩隆チームリーダーらは、陽電子放射断層撮影装置(PET)を使い、ヒトに近い霊長類のアカゲザルを分析。その結果、タミフル24 件では、生後9カ月の幼少期のサル(ヒトの2〜3歳)と2歳のサル(同10代)は、5〜6歳の大人のサル(同20代)と比べ、脳への取り込みがいずれも約1・3倍速かった。また、投与1時間後の濃度も約2〜2・5倍と高かった。
不整脈などの治療薬「ベラパミル」も、幼少期のサルは大人より脳への取り込みが約2・3倍速かった。
高島研究員らは、今回の2種類以外の薬でも同様の可能性を指摘。その上で「今後はヒトでの研究も進め、脳の防御機能が何歳で完成するのかを解明したい」としている。(金井恒幸)
